Smile Gallery
Welcome to our Smile Gallery!
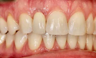
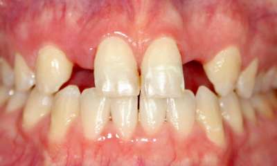
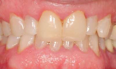
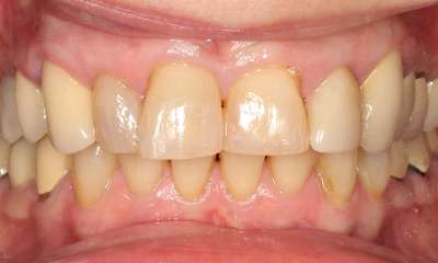
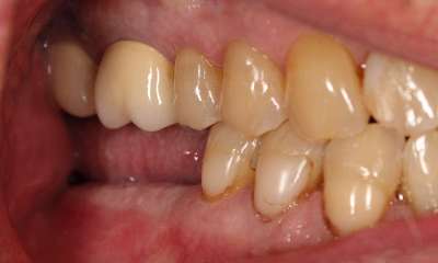
Before
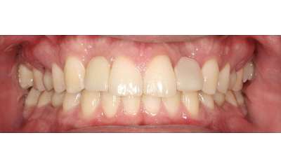
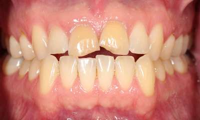
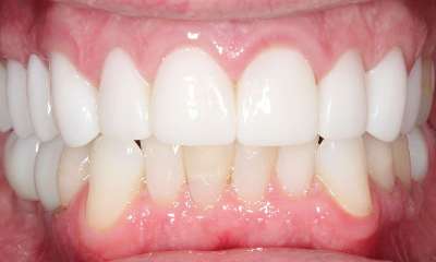
After
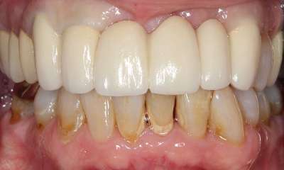
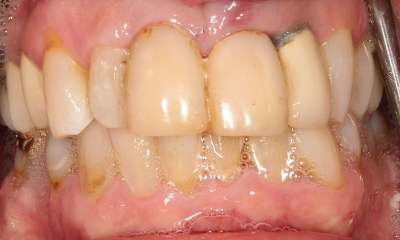
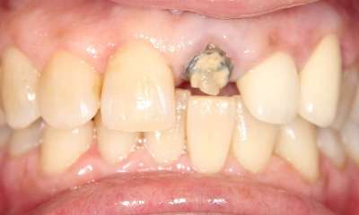
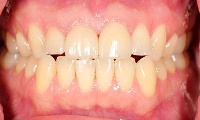
Before
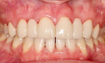
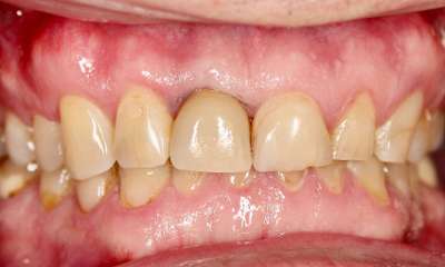
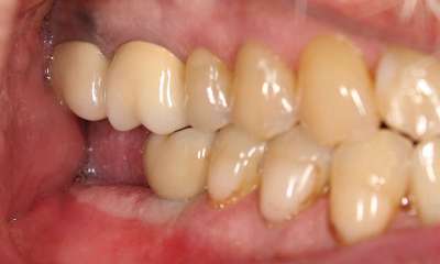
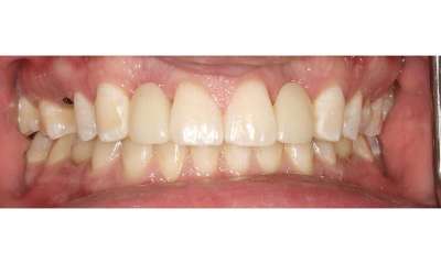
After
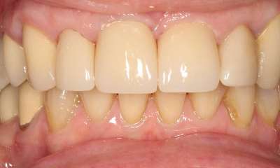
Before
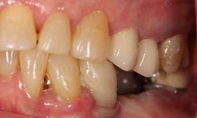
After
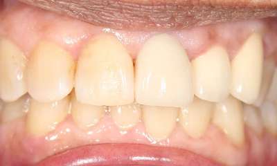
Before
After
Before
After
Before
After
Before
After
Before
After
Before
After
Before
After
Before
After
Before
After
Before
After
Are You Ready to Book Your Next Dental Visit?
Contact Us
Smile Gallery Categories