Skip to main content
Milestone Dental
Dr. Vincent Colletti
Request an Appointment
(402) 498-0777
Milestone Dental
14707 California Street Suite 14/15 Omaha, Nebraska 68154
14707 California Street Suite 14/15 Omaha, Nebraska 68154
Online Bill Pay
Home
About
Our Team
Technology
Services
View All
Emergency Dentistry
Family Dentistry
Dental Implants
Tooth Extractions
Root Canal Therapy
Sedation Dentistry
Clear Aligners
Smile Makeovers
Children's Dentistry
Preventive Dentistry
Smile Gallery
Patient Info
View Patient Info
Financial
FAQs
Contact
Milestone Dental
>
Smile Gallery
>
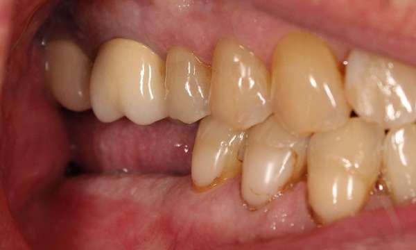
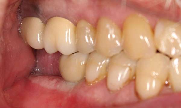
LR Implant
LR Implant
Return to Smile Gallery
Previous
Next
Related Services:
Dental Implants
Click image to see a larger picture
Before
After
Not finding what you need?
Contact Us
OK!
×
×
Contact Us Today
Give Us A Call
Milestone Dental -
(402) 498-0777
Send Us an Email
Request an Appointment
Contact Us
Ready to Schedule an Appointment?
Book Online
Have Questions? Contact Us:
Required Field
Your Name:
Phone:
Email:
Are you a new patient?:
Are you a?
New Patient
Current Patient
How would you like us to contact you?
Please choose
Email
Call
How did you hear about us?
Please choose
I'm an existing patient
Google/Bing
Mailer
Word of mouth
Social media
Other
Who Referred You?:
Appointment Preferences
Tuesday
Wednesday
Thursday
Friday
Your Message:
This site is protected by reCAPTCHA and the Google
Privacy Policy
and
Terms of Service
apply.
Sending...
×
This Patient's Experience
Loading Testimonial...
Loading Case...